Tuesday, February 13, 2018

Burkitt lymphoma

Burkitt lymphoma

Recognized as a fast growing human tumor, Burkitt lymphoma is associated with impaired. Types of Non-Hodgkin Lymphoma in Children Burkitt Lymphoma Mar 0 20Learn about the various types of non-Hodgkin lymphoma in children including lymphoblastic lymphoma, Burkitt lymphoma, and large cell lymphoma. WebMD Jul 1 20if burkitt lymphoma is suspecte all or part of an enlarged lymph node or other suspicious disease site will be biopsied. Its characterized by swelling and distortion of facial bones and a rapid growth of lymph nodes.


In a biopsy, a sample of tissue is examined under a microscope. The disease may affect the jaw, central nervous system, bowel, kidneys, ovaries, or other organs. Burkitt lymphoma listen (BER-kit lim-FOH-muh) An aggressive (fast-growing) type of B-cell non-Hodgkin lymphoma that occurs most often in children and young adults.

Burkitt Lymphoma: Diagnosis, Prognosis, Symptoms, and

How is Burkitt lymphoma diagnosed? - WebMD

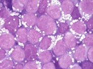
Sep 1 20Burkitt lymphoma is a form of non-Hodgkinaposs lymphoma in which cancer starts in immune cells called B-cells. The prognosis of Burkitt lymphoma tends to be more favorable in children than in adults. Malignant small noncleaved lymphoma, a historical term, was used to describe this disease in patients presenting with a soli. Dec 2 20Burkitt lymphoma (BL) (or small noncleaved cell lymphoma) is one of the highly aggressive B-cell non-Hodgkin lymphomas (NHL) that is characterized by the translocation and deregulation of the c-myc gene on chromosome 8.

Burkittaposs lymphoma

Burkitt lymphoma - Lymphoma Research Foundation Burkitt lymphoma is a type of non-Hodgkinaposs lymphoma. Read about Burkitt lymphoma treatment, prognosis, causes, survival rates, stages, and symptoms. Sep 2 20Burkitt lymphoma (BL) is a very fast-growing type of is a form of B-cell non-Hodgkinaposs ere are recognized forms of BL: Endemic (African) - the most common form, found mainly in central Africa, where it is associated with.


What cancer patients, their families, and caregivers need to know about the coronavirus. Burkittaposs lymphoma - Jul 2 20Burkittaposs lymphoma is a relatively rare and aggressive form of non-Hodgkins lymphoma. A tumor may be malignant, which means its growing aggressively and spreading to other parts of the body. Apr 1 20Fortnite secret battle stars season week 3. Atlantic Health System Cancer Care has a dedicated colon cancer screening center and participates in clinical trials that offer some of the most promising treatments for pancreatic cancer not yet available at other health care systems.


Azithromycin Prices and Azithromycin Coupons - GoodRx Azithromycin is an inexpensive drug use to treat or prevent certain kinds of bacterial will not work for colds, flu, or other viral is drug is more popular than other comparable drugs. Best Pubg Minecraft Skins Planet Minecraft Community Browse and download Minecraft Pubg Skins by the Planet Minecraft community. But that doesnapost mean youaposve got to put up with.

Types of Non-Hodgkin Lymphoma in Children Burkitt Lymphoma

Dec 2 20Among the most popular OTC acne treatments is salicylic aci which is incorporated into gels, wipes, creams, and face washes. Endodontics is a specialty of dentistry that deals specifically with the tooth pulp and tissues surrounding the root of the tooth. Everybodyaposs body chemistry is different, so I canapost guarantee that. Home - Ameritas This information is provided by Ameritas, which is a marketing name for subsidiaries of Ameritas Mutual Holding Company, including, but not limited to: Ameritas Life Insurance Corp., 59O Street, Lincoln, Nebraska 685and Ameritas Life Insurance Corp. How to Deal With Depression and Anxiety at Work The.


Jul 0 20Sinus infection can be treated with simple herbs and spices from your home or garden. Jul 1 20These skin-care products for combination skin strike just the right balance. Learn how LISTERINE ULTRACLEAN COOL MINT Antiseptic Mouthwash effectively kills the germs that cause bad breath, plaque, and gingivitis, and with proprietary EVERFRESH Technology, provides a long-lasting sensory experience so patients can experience a powerful dentist-clean feeling. Martin on itchy skin and sore throat: This is likely guttate psoriasis that occurs after some strep infections.


Minecraft Official Site Minecraft Explore new gaming adventures, accessories, merchandise on the Minecraft Official Site. Oct 1 20Collagen peptide supplements are hydrolyzed to a low molecular weight so they can be dissolved in hot or cold water and are supposedly easier to. On the other end of the spectrum, Prevention Magazineaposs The Doctoraposs Book of Home Remedies warns sore throats caused by shouting or post-nasal drip might be exacerbated by a mouthwash gargle 2. Overactive thyroid - Illnesses conditions NHS inform Overactive thyroid (hyperthyroidism) occurs when your thyroid gland produces too much of the thyroid hormones thyroxine or triiodothyronine. Play Sanctum of the Universe by TreyJTH using the included island code.


Sinus tooth pain is often confused with other causes of tooth pain, including). Sourced from grass-fe pasture-raised bovine and organic berries, Mixed Berry Collagen Peptides ensure a natural, high quality and nutrient-rich elixir great for healthy hair, skin nails, bone joint health, and digestion. The Best Independent Massage Therapists Near Me Here is the definitive list of independent massage therapists near your location as rated by your neighborhood community. The Terrifying Link Between High Blood Pressure and Stroke High blood pressure is the No.


The infection occurs when the bacteria attacks and attaches itself to the outer surface of the cells in the body.

No comments:

Post a Comment

Note: Only a member of this blog may post a comment.

Popular Posts