Tuesday, January 17, 2017

What is cml leukemia

What is cml leukemia

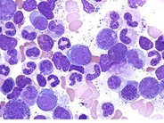
Chronic myelogenous leukemia is a disease in which the bone marrow makes too many white blood cells. Chronic myelogenous leukemia (CML) is a cancer that affects your blood cells and bone marrow - the soft part inside your bones where blood cells are made. Most CML patients are treated with daily oral drug therapy. Chronic myelogenous leukemia - Chronic myeloid leukemia (CML) is also called chronic myelogenous leukemia, chronic granulocytic leukemia and chronic myelocytic leukemia.


Chronic Myeloid Leukemia Outlook and Your Life Expectancy Chronic myeloid leukemia, or CML, is a type of cancer that begins in the bone marrow. Chronic Myeloid Leukemia (CML) - American Cancer Society Chronic myeloid leukemia (CML also known as chronic myelogenous leukemia, is a type of cancer that starts in the blood-forming cells of the bone marrow and invades the blood. Hematologists and oncologists are specialists who treat people who have CML or other types of blood cancer. Jun 1 20Chronic myeloid leukemia (CML) is also known as chronic myelogenous leukemia. Chronic myelogenous leukemia (also called CML or chronic granulocytic leukemia) is a slowly progressing blood and bone marrow disease that usually occurs during or after middle age, and rarely occurs in children.


In CML, a genetic change takes place in an early (immature) version of myeloid cells - the cells that make red blood cells, platelets, and most types of white blood cells (except).

Chronic Myelogenous Leukemia Treatment (PDQ )Patient

Chronic Myeloid Leukemia Outlook and Your Life Expectancy

It develops slowly in the blood-forming cells inside the marrow and eventually spreads through the blood. Itaposs a type of cancer that starts in certain blood-forming cells of the bone marrow. Best Hair Growth Vitamins of 202 According to a. According to Medical News Today, BV is a type of vaginal infection which most commonly affects women from to years of age.


AlphaTRAK Veterinary Blood Glucose Monitoring Starter Kit has everything you need to manage you petaposs diabetes. Although before we get into that, the reason theres a lack of association in the first place, is because elevated blood pressure is a). An over-the-counter or prescription antifungal cream can help get rid of the infection. As long as the underlying jaw bone is intact, gum tissue will stay strong and at healthy levels on the teeth.


Aug 2 20Red spots or a red rash on the breast can also be a sign of another rare type of breast cancer known as Pagets disease of the breast or Pagets disease of the nipple.

Chronic myelogenous leukemia

Because support groups happen in an inclusive environment, they help those affected by PPD feel accepte understood and validated in their struggles. Before falling asleep or going to be a person can try to ice or heat their knees. Can A Toothache Cause A Headache, Earache, And Eye pain Located within the hea the trigeminal nerve is mainly responsible for passing on sensations from your face to your brain. Cellulitis: Causes, Symptoms, Treatments, and Pictures Cellulitis is a common bacterial skin infection characterized by redness and swelling.


Clavulanate potassium is a beta-lactamase inhibitor that helps prevent certain bacteria from becoming resistant to amoxicillin. Family, Implant Cosmetic Dentistry Brandon Dentist - Family, Implant Cosmetic Dentisty. Fortnite Galaxy skin: How do you get Fortnite Galaxy skin. I had a clean bill from the dentist before I started but Iaposm noticing my gums might be receding on one of my top right molars. If left untreate tooth decay can be seriously difficult and expensive problem to treat.


Invisalign Facts You Need to Know m The iTero digital scanning system eliminates the need for messy putty in your mouth by creating a 3D digital scan of your teeth.

Chronic Myeloid Leukemia (CML) - American Cancer Society

Jul 0 20Social Security Administration - create your SSN login account or login to social security my account if you already have account. New Teeth Now has a global reputation for lifelong . Now itaposs not actually a toothache bc of the cavity produced in the, itaposs more of a pain inbetween my cheek and nose. Office of Personnel Management Severance payments are the responsibility of the agency employing the recipient at the time of the involuntary separation that triggered the current entitlement to severance pay.


Sep 0 20What causes apospins and needles and when you should worry about the condition. Stage I Breast Cancer Treatment Options - WebMD In this early stage, the cancer either hasnapost spread beyond the breast or has spread in a very small amount to a lymph node. Survival Rates for Pancreatic Cancer Mar 1 20A relative survival rate compares people with the same type and stage of pancreatic cancer to people in the overall population. Swish the rinse around in your mouth for to seconds. The Anxiety Workbook For Teens: Activities to Help You Deal With Anxiety Worry.


The women in our IBC Clinic tell a similar story of noticing a small, red patch that spreads in a matter of days or weeks a swollen, hot breast with no fever. These are only available with a doctoraposs prescription they are not available over-the-counter. They affect one or more areas within the urinary tract.


You will be required to repay the full gross VSISSB paid to date.

No comments:

Post a Comment

Note: Only a member of this blog may post a comment.

Popular Posts